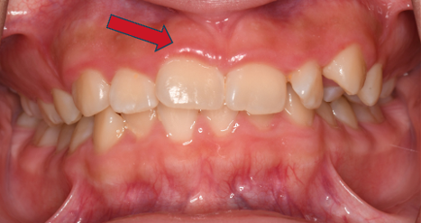
Before
After
Restore a Balanced Gum-to-Tooth Ratio with Crown Lengthening
Crown lengthening in Arcadia, CA, can be performed for functional or aesthetic reasons. The crown of a tooth may be short due to erosion of the occlusal or incisal surface or excessive gum tissue covering the structure. Functional crown lengthening is designed to create a gum-to-tooth relationship that allows for a long-lasting zirconia crown fabrication and placement. In contrast, aesthetic crown lengthening improves the appearance of a gummy smile.
The latter is associated with excessive gingival display and can diminish smile confidence and self-esteem. Rest assured, whether you need functional or aesthetic tooth lengthening at Arcadia Perio, your smile is in highly skilled and compassionate hands with our board-certified periodontist, Dr. Andrew Peterson!
The Benefits of Crown Lengthening
- Enables secure placement of crowns and veneers
- Corrects an uneven gum line
- Improves the appearance of a gummy smile
- Restores harmonious tooth-to-gum balance and symmetry
Understanding Esthetic and Functional Crown Lengthening
Crown lengthening is a versatile dental procedure that can be performed for both esthetic and functional reasons. It involves reshaping the gum tissue, and sometimes the underlying bone, to expose more of a tooth’s surface. This procedure is beneficial for enhancing the appearance of your smile or preparing a tooth for restorative work.
Esthetic Crown Lengthening
Purpose: Often sought by individuals who feel their smile shows excessive gum tissue, known as a “gummy smile.” This procedure helps create a more balanced and appealing smile by revealing more of the teeth.
Outcome: The result is a more harmonious smile with teeth that appear longer and more proportional to your facial features.
Functional Crown Lengthening
Purpose: Sometimes necessary when a tooth needs a new crown or other restoration, but not enough tooth structure is visible above the gum line to support the work.
Outcome: By exposing more of the tooth, this procedure allows for the proper fitting of restorations, preventing issues like decay or damage to the supporting structures.
Crown Lengthening Improves Smile Function and Beauty
The good news is that crown extension or gingival recontouring can often be performed with a dental laser, eliminating incisions and sutures. This gentler, minimally invasive approach is accurate and predictable, resulting in less irritation, swelling, bleeding, and downtime.
Consultation & Evaluation
During your consultation, Dr. Peterson will discuss what to expect and the crown lengthening cost and ask if you have any questions or concerns. The presurgical analysis involves an assessment of your teeth, gums, and surrounding structures to determine the most appropriate surgical technique to recontour your gumline. Before your scheduled surgery, we’ll call your pharmacy for prescriptions for a specialized mouth rinse that you’ll use to enhance healing.
The Procedure
Before the procedure, a local anesthetic is used to numb the surgical area, as well as IV or oral conscious sedation if this is arranged in advance. As Dr. Peterson reshapes the gum and bone tissue to expose more structure of your tooth, you shouldn’t feel any pain, whether he uses traditional dental tools or a laser.
Oxyfresh gel with aloe vera is applied to promote healing and act as another level of disinfection. After your procedure, Dr. Peterson may also use a soft periodontal surgical dressing to protect the treated area. The procedure’s time depends on how many teeth are involved and whether a small amount of bone and soft tissue needs to be removed.
Healing & Recovery
Following surgery, the treated area may be tender, sore, or swollen. Painkillers, antibiotics, and mouth rinses help relieve discomfort and prevent infection. Healing is quicker if a laser is used to perform crown lengthening, but in general, a posterior (back) crown can be placed 4–6 weeks post-surgery, while an anterior (front) crown requires 8–12 weeks.
Entrust Your Teeth and Gums to Our Soft and Hard Tissue Expert
Dr. Peterson has the knowledge and skills to determine if crown lengthening in Arcadia, CA, is your best option. Certain issues can contradict the use of crown lengthening, including an inadequate crown-to-root ratio, non-restorability due to severe cavities or root fractures, an inadequate tooth-to-arch relationship, potential compromise to the adjacent gum tissue or aesthetics, insufficient restorative space, and lack of maintainability and root proximity. During your initial consultation, Dr. Peterson will look at your unique oral anatomy and discuss your smile goals to ensure a crown lengthening procedure delivers the best outcome for you!
Issues Resolved with Crown Lengthening
- Large cavities beneath the gum line
- Inadequate tooth structure due to fracture
- Large failing old fillings that compromised tooth structure
- Short teeth related to excessive gum tissue
- Inadequate tooth structure caused by delayed eruption
- Too little space between the jawbone and the dental crown

