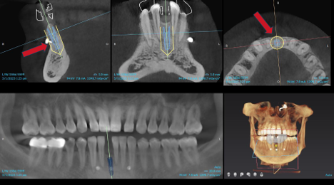
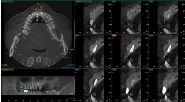
All On X

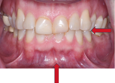
Before

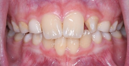
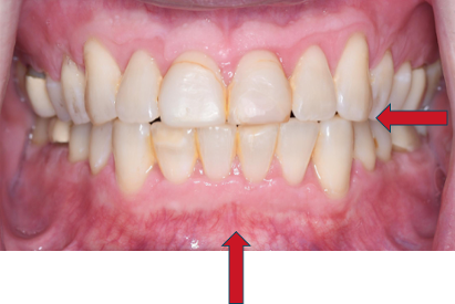
After

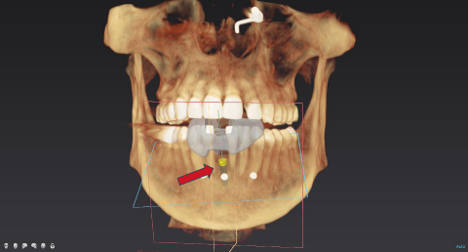
After with implants

After xray with implants and teeth

3D printing teeth
Bone Grafting
Case 1

Before

After

Before (Alternate)

After (Alternate)
Case 2

Before

After

Before (CBCT)

After (CBCT)
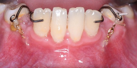
Canine Exposure

Before

After

CBCT Before

CBCT After

After with chain removed
Crown Lengthening

Before

After
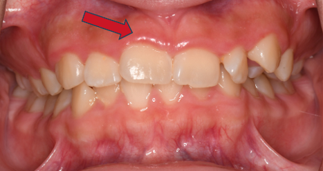
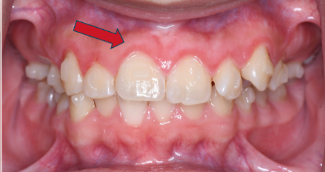
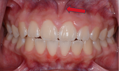
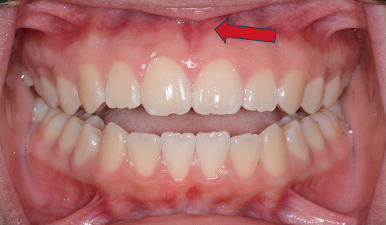
Frenectomy

Before

After
Gingivectomy

Before

After
LAPIP Treatment

Before

After (6 Months Post)

LAPIP Steps
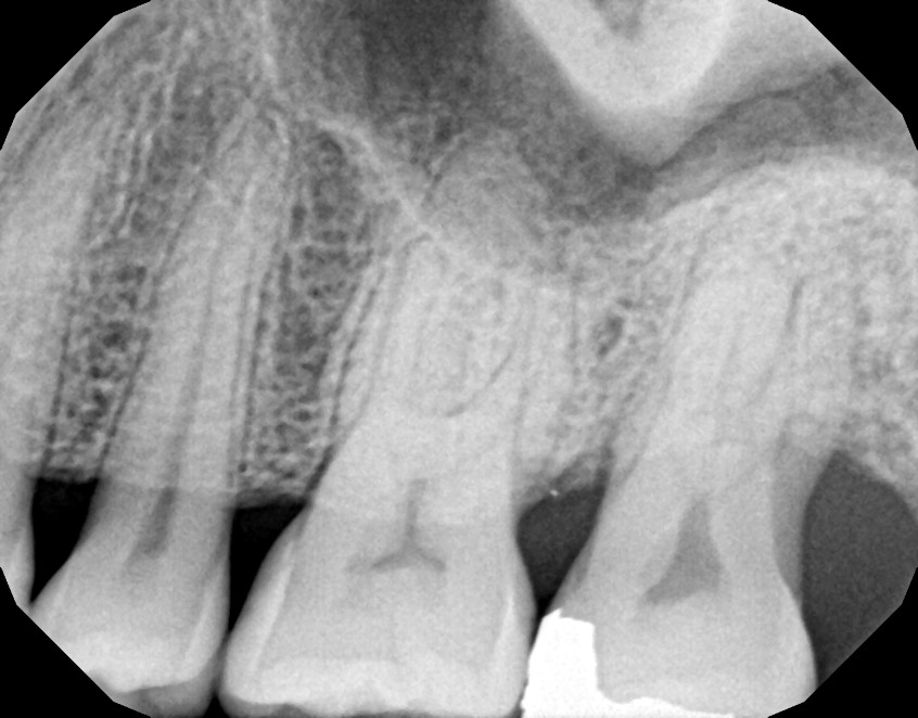
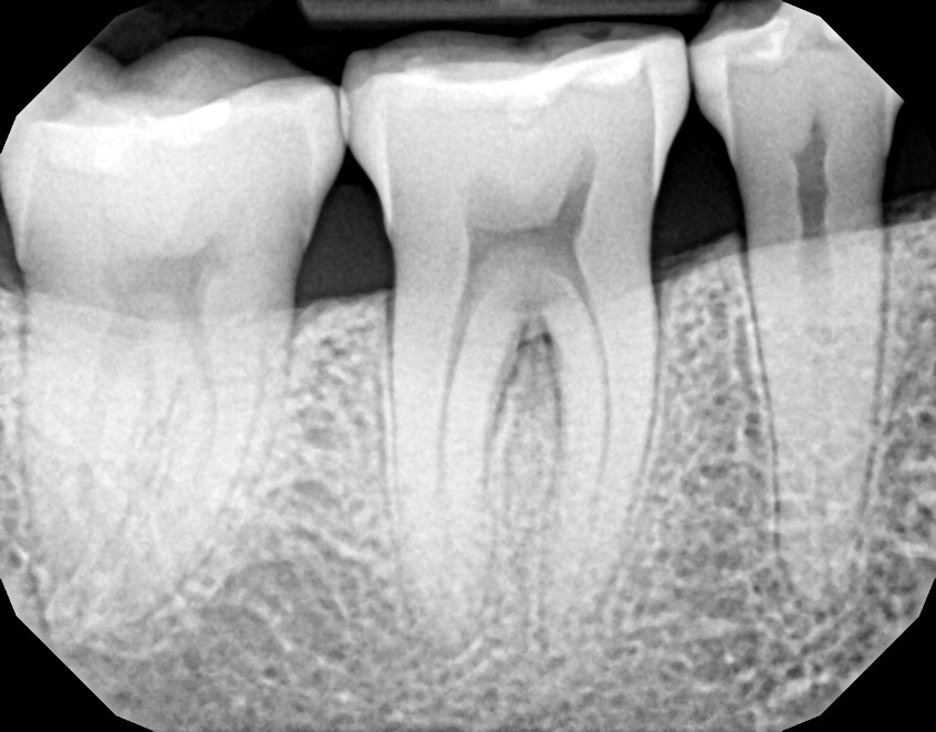
LANAP X Rays Before and After
Case 1

Before

After (6 Months)
Case 2

Before

After (6 Months)

After (14 Months)
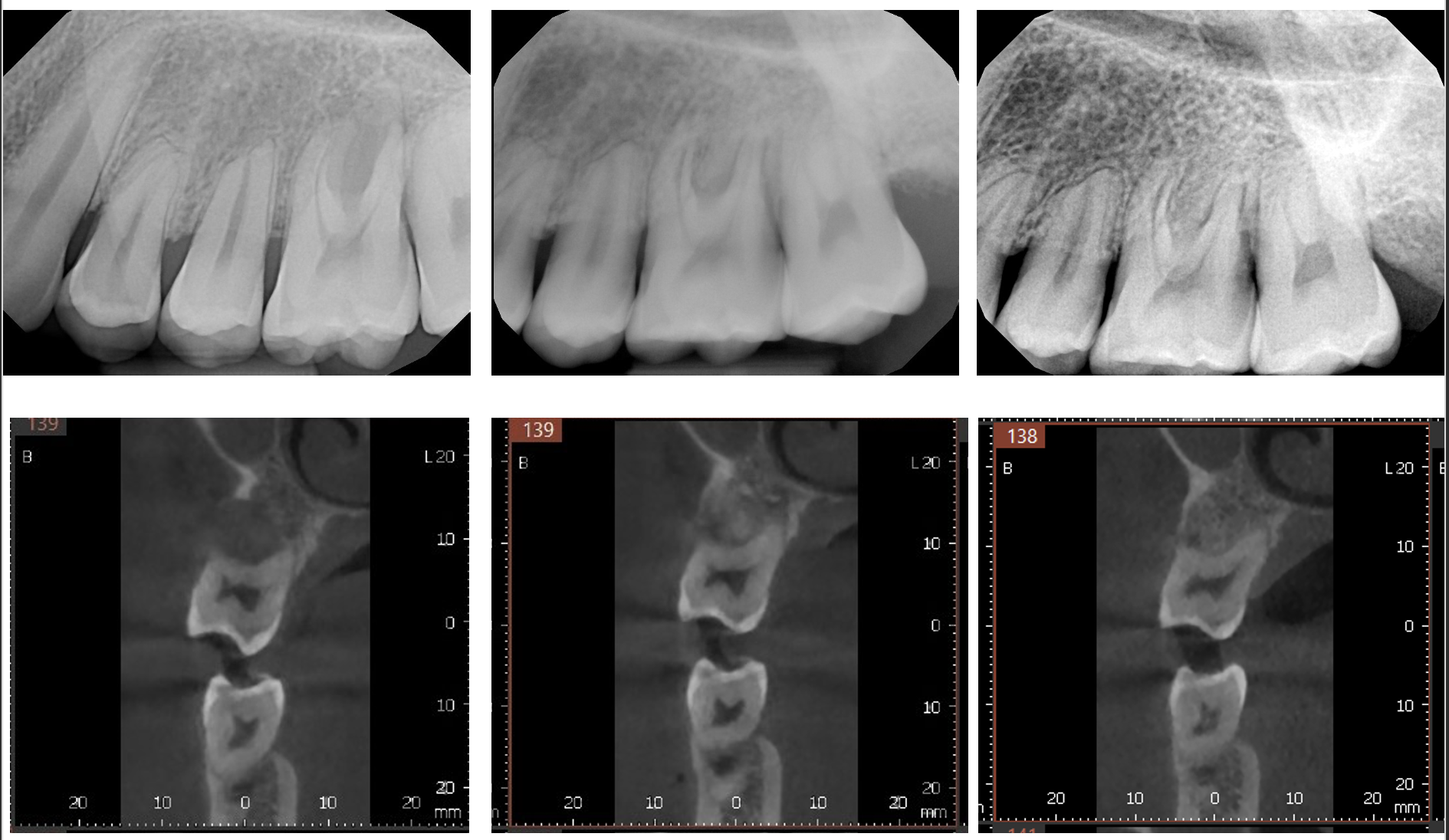
Case 3

Before, 6 months, 12 months Post LANAP
SFOT

Before

After
Soft Tissue
Case 1

Before

After
Sinus Grafting

Before (CBCT)

After

